运动下就好了!女子忍着剧痛每天勤锻炼,结果出乎意料
运动下就好了!女子忍着剧痛每天勤锻炼,结果出乎意料
日常生活中,肩膀酸痛是常事,忍忍就过去了,要是情况相对严重,很多人都会认为是 " 肩周炎 ":多锻炼就好了。这不,69 岁吴阿姨(化名)就因 " 关节炎 " 后锻炼太勤,把自己送进了医院。
吴阿姨自退休后就开始照顾女儿,家务都是一手落。吴阿姨有洁癖,每天都要把家里搞得干干净净:地板要趴在地上用手擦,贴身衣服全要用手洗,家里的窗户每周都得擦一遍 ...... 约 4 个月前,爱劳动的吴阿姨渐渐感觉力不从心,右肩膀不太舒服,起初她没放在心上,贴着止痛膏继续干。
可过了许久,肩膀疼痛的情况并未缓解,吴阿姨觉得自己可能是得了肩周炎,又听说肩周炎必须要多运动,要多做 " 爬墙 " 动作,她就每天忍着剧痛练习,若疼得厉害,就去做按摩,拔火罐。
近日,常在半夜被生生痛醒的吴阿姨实在忍不住了,急忙来到杭州市第一人民医院骨科就诊。
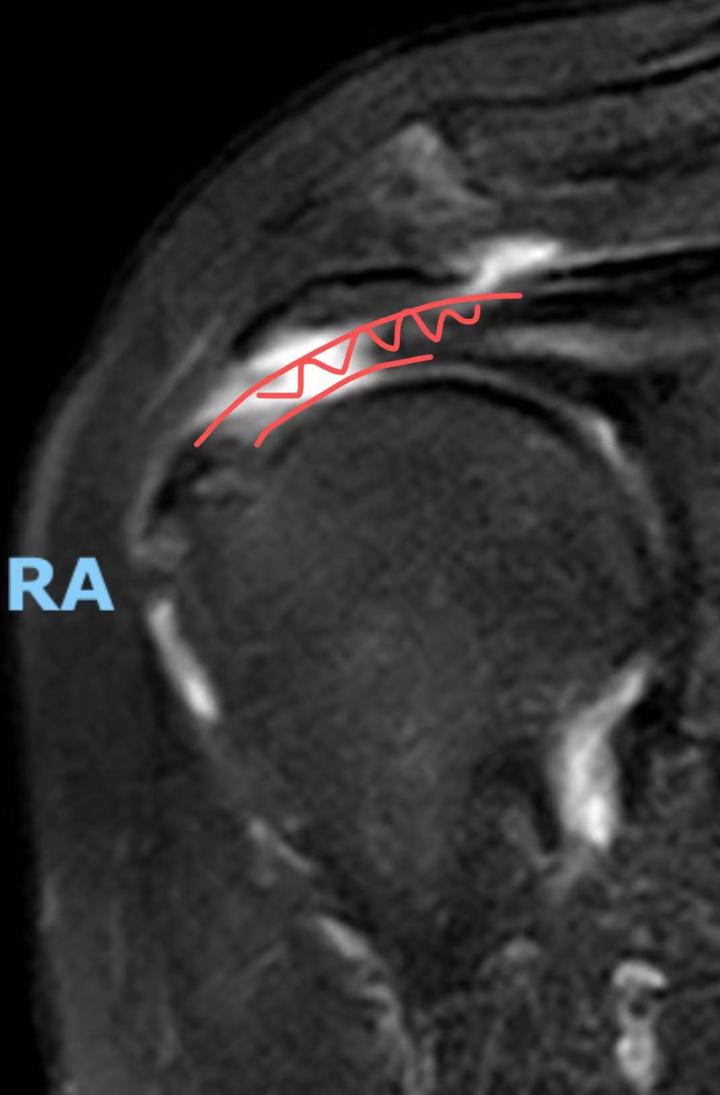
接诊的骨科医师田飞发现吴阿姨的右手几乎抬不起来,综合考虑后,觉得吴阿姨并非是得了 " 肩周炎 " 这么简单,而之后的肩关节磁共振检查也证实了他的猜想——吴阿姨是严重的肩袖撕裂。

图注:白色区域显示肌腱断裂
简单来说,是吴阿姨肩关节里的肌腱断了,而她勤劳的用力锻炼使得肌腱断裂的情况更加严重。田飞医师通过微创手术,使用特制的锚钉和超强缝线,将吴阿姨断裂的肌腱拉回原位缝合并加固。术后,吴阿姨的关节痛终于消失,右臂也渐渐恢复活动能力。
其实在日常门诊中,像吴阿姨这样把肩关节痛误当做 " 肩周炎 " 的病患并非少数,患者往往自行进行错误锻炼,使得病情加重,最后不得不需要进行手术治疗,情况严重的,甚至会影响终身活动能力。
" 真正的肩周炎发病率并不高,只占肩关节痛的 10%-15%。" 田飞介绍,在那些所谓的 " 肩周炎 " 患者中,三成以上都是肩袖损伤,由于肩袖损伤的主要表现也是肩关节疼痛,因此很容易被误诊。

但要注意的是,肩袖损伤和肩周炎的某些功能锻炼是完全相反的:肩袖损伤的早期治疗原则是固定和制动,如果像治疗肩周炎那样进行甩手臂," 爬墙 " 等动作,反而会造成肩袖严重撕裂。
" 肩袖损伤有一个逐渐发展的过程。" 田飞说,若吴阿姨在肩膀刚出现疼痛时就及时就医,通过早期限制活动,保守治疗和正确的功能锻炼可逐渐恢复,但她在出现肩袖损伤后,进行了不适当的锻炼,导致肩袖严重撕裂,只能通过手术康复。
至于如何具体分别肩袖损伤和肩周炎,医生提醒可从 " 细节 " 判断:
肩周炎所引起的疼痛,白天夜晚区分不大,而肩袖损伤的肩关节疼痛夜晚会比白天剧烈,此外肩袖损伤是由于肌腱撕裂所致,会出现上举困难等症状。
肩周炎没有明确诱因,通常在半年到一年的时间里疼痛会逐步缓解,可通过 " 爬墙 "、甩手等方式改善;而肩袖损伤要通过限制活动等方式才能恢复。
目前针对肩袖撕裂的最佳治疗方法,是在全关节镜下微创手术来缝合肩袖。
对 50 岁以上,没有外伤出现肩关节疼痛的患者,可通过多休息、减少抬胳膊,使用一些抗炎镇痛的口服或外用药物来治疗。若两三个月后症状没有明显缓解,或在进行锻炼后疼痛加重的,建议尽早进行磁共振检查,排除肩袖损伤,进行合理治疗。
来源:潮新闻 记者 何丽娜 通讯员 李煦
标签:
