图谱-颈椎退行性改变
图谱-颈椎退行性改变
来源: 医疗互动
学习目的:
颈椎病是颈椎的慢性退行性病症,影响椎体,椎间盘,小关节和椎管内容物。它通常出现在40岁以上的人群中,被认为是脊柱正常衰老过程的一部分,并且影响多达三分之二的人口。
本文根据与以下相关的异常情况,综述平片,CT,MRI上颈椎退行性疾病的影像学表现:
- 颈椎对齐,
- 椎体高度,
- 终板,
- 神经孔宽度,
- 椎间盘
- 钩突和小关节。
在正常的临床工作中,用平片初步评估颈椎;而使用CT和MRI以获得更详细的信息。
标准X线片包括正侧位,左右些位、过伸过屈为、和张口位,分别可以观察顺列、钩突、生理曲度、椎间孔、椎间隙、增生、钙化等等。
CT扫描成像协议包括从感兴趣区域获取的体积数据。轴向重建是基本的成像数据集,并且在此基础上创建冠状和矢状面的重建。软组织和骨窗是必不可少的。在颈椎病的情况下,不是常规地进行三维重建,而是仅根据临床医生的要求。总的来说,CT扫描时间很短。
MR成像协议包括冠状,轴向和矢状平面中的图像。常规颈椎MR协议包括传统的矢状T1和T2涡轮自旋回波图像和T2脂肪饱和图像,轴向T1涡轮自旋回波和T2梯度回波图像。最后,获得冠状T1涡轮自旋回波图像,用于评估颈椎侧凸。还可以获得补充的薄轴向截面(例如稳态),以详细显示椎间盘突出的边缘和用于评估神经孔。MR扫描时间相对较长。
颈椎退行性疾病的影像学表现包括:
- 颈椎正常脊柱前凸弯曲的损失,可以表现为颈椎生理曲度变直,或颈椎生理曲度呈返弓,
- 椎间隙缩小,
- 椎体变性和可能的身高损失,
- 终板硬化,
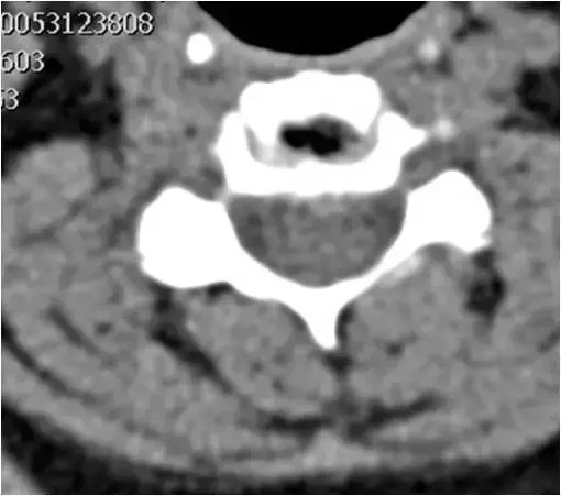
- 钩突关节肥大和小关节关节病,
-韧带骨赘或椎体骨赘形成,
- 韧带钙化,
- 神经孔狭窄
- 椎间盘疾病,包括椎间盘突出,椎间盘突出和椎间盘突出/挤压,椎间盘退变和真空现象。
而且,颈椎的退行性疾病可能与脊髓的变化有关。
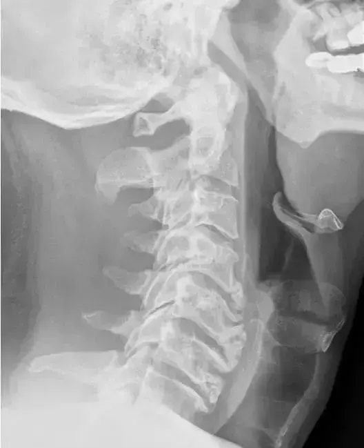
平片:它们的特异性有限,但仍被认为是评估颈椎的第一种成像方式(图1-15)。

图1、正常的颈椎正位片

图2、正常的颈椎侧位片

图3、正常颈椎双斜位

图4、正常颈椎张口位

图5、颈椎过伸过屈位。

图 6、颈椎生理曲度变直

图7、颈椎侧位片,生理曲度返弓。

图8、颈椎侧位,退行性椎间隙变窄。

图9、颈椎侧位片,正常的椎体后缘是对齐的。

图10、颈椎侧位片,颈椎生理曲度后凸

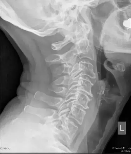
图11:颈椎侧位。正常的颈椎对准。在C3-C4,C4-C5和C5-C6水平上注意到小的前部骨赘形成。C4-C5水平的椎间隙变窄,轻度终板硬化。还注意到C4-C5和C5-C6水平的关节肥大。

图12:颈椎侧位。颈椎生理曲度变直。椎体高度正常。在C4-C5和C5-C6水平存在椎间隙变窄,前骨赘形成。在相同水平注意到轻度钩椎关节肥大。C4-6椎体后缘没有对齐。

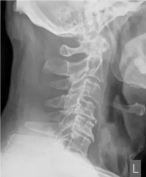
图13:颈椎侧位片。。轻度损失C4,C5和C6椎体的高度。在C4-C4和C5-C6水平上有大量的前部骨赘形成。C6-C7水平的高度损失非常轻微。

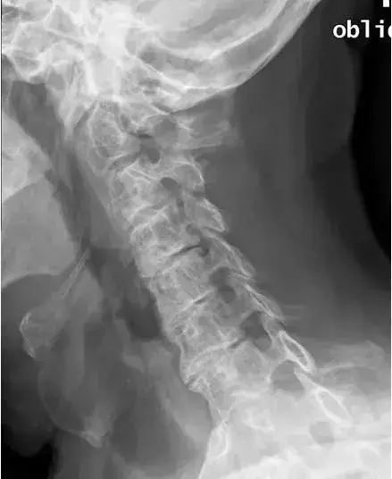
图14:颈椎左前斜位。右侧C3-C4和C5-C6孔的轻度狭窄和右侧C4-C5孔严重狭窄。

图15:颈椎左前斜位。左C4-C5和C5-C8孔的狭窄。
CT扫描:多排螺旋CT提供有关颈椎检查的X线片的更详细信息。 此信息与以下内容有关:
- 椎管尺寸的测量,
- 神经孔和神经根,
- 椎间盘。 椎间盘突出膨出可视化。 可以容易地识别盘退化和真空征
- 椎管内容物。
CT扫描可以评估骨组织和软组织中钙化, 随着多层技术的使用,它已经变得优于其他检查方式,因为图像重建可以在不同的平面中创建。(图16-31)。

图16:颈椎CT扫描。冠状位重建。C5-C6关节间隙变窄,右C5-C6椎间钩突关节肥大,和C5椎体下终板硬化。

图17:颈椎CT扫描。矢状位重建。C5相对于C4椎骨的轻度后移位。C5-C6关节间隙狭窄,轻度终板硬化和同一水平的小前骨赘。像。

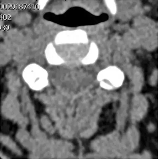
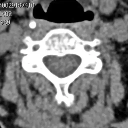
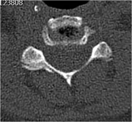
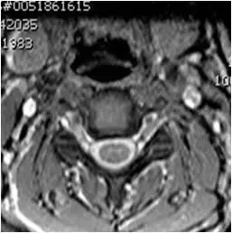
图18:在钩突关节间隙水平处上颈椎的轴向CT图像。

图19:通过上颈椎椎体的轴向CT图像。

图20:颈椎的CT扫描。矢状位重建。颈椎正常脊柱前凸。椎体的高度正常。轻度C5-C6和C6-C7椎间隙变窄,终板硬化和前骨赘形成。

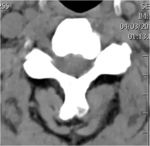
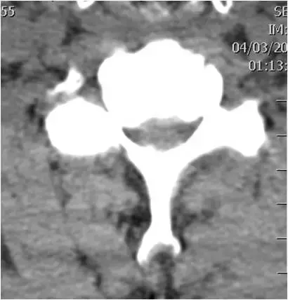
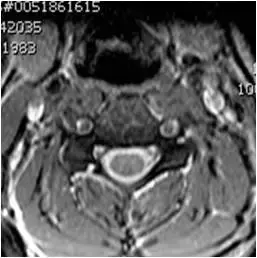
图21:颈椎中段的轴向截面。广泛的左钩椎关节肥大。左神经孔狭窄,出口神经根受压。

图22:颈椎中段的轴向截面。骨窗。与图像21相同的患者和相同的水平。广泛的左钩椎关节肥大。左神经孔狭窄,出口神经根受压。

图23:下颈椎的轴向截面。广泛的骨赘形成和右钩椎关节肥大。硬膜囊颈髓的前部受压。确定脊柱狭窄。

图24:下颈椎的轴向截面。骨窗。与图像23相同的患者和相同水平。广泛的骨赘形成和右钩椎关节肥大。硬膜囊颈髓的前部受压。确定脊柱狭窄。

图25:颈椎的CT扫描。矢状位重建。中线部分。生理曲度变直。C5-C6和C6-C7间隙变窄,终板硬化和小的前部和后部骨赘。C6-C7椎间盘的真空征。

图26:颈椎的CT扫描。矢状位重建。中线部分。多级退行性疾病。C3-C4,C4-C5和C5-C6轻度间隙变窄。同一椎间盘的真空征。C4-C5和C5-C6后部骨赘形成。

图27:颈椎的CT扫描。椎间盘退变和真空征。非常小的椎间盘突出。

图28:颈椎的CT扫描。骨窗。与图27病人和与图像相同的水平,.椎间盘的退化和真空征。非常小的椎间盘突出。

图29:颈椎的CT扫描。轴向截面。椎间盘突出。硬膜囊受压。

图30:颈椎的CT扫描。图29骨窗,轴向截面。椎间盘突出。硬膜囊受压。

图31、寰枢关节骨质硬化,C6-7椎间隙变窄,终板硬化,前后缘可见骨赘形成。
MRI:它被认为是研究脊柱退行性疾病(当然还有颈椎)的首选影像学方法。 这主要是因为该方法具有优异的软组织对比能力。
MRI对软组织钙化的检测不敏感,并且可能丢失与骨和骨皮质相关的细节。 然而,它具有无可争议的优势,并在调查中提供有关平片和CT扫描的其他信息:
椎间盘,包括椎间盘退变,环状撕裂,椎间盘突出和椎间盘突出的检测,
其中的椎间孔和神经元,特别是椎间孔狭窄和神经根卡压
脊髓。 (图32-44)。

图32、颈椎的矢状位T2 TSE图像,中线水平颈椎生理取得变直, 其他未见明显异常。

图 33、在C3-C4间隙水平的上颈椎轴位T2 GRE,未见明显异常。

图34、轴位C4上端板水平的上颈椎T2 GRE。 正常。

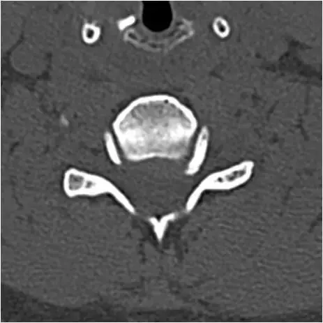
图35、轴位 ss图像。 椎间盘椎间孔未见明显异常。

图36:矢状位 T1 TSE图像。 中线部分。生理曲度变直,多个椎间盘向后突出。

图37、矢状位T2 TSE图像。 中线部分。 与图像37相同的患者。颈椎的拉伸。 鉴定出多级椎间盘病变(C3-C4,C4-C5,C5-C6)。

图38、轴向T2梯度回波图像。椎间盘突出与压迫硬膜囊。 轻度左钩椎关节肥大。

图39、轴向T2梯度回波图像。 左侧后外侧椎间盘突出伴压迫囊的前方。

图40、轴向T2梯度回波图像。椎间盘突出伴压迫硬膜囊前部。 注意到脊髓变形。 有椎管狭窄。 没有发现颈髓病。
参考文献:
1. Wilkinson M. The anatomy of cervical spondylosis. Proc R Soc Med. 1964 Mar;57:159-62.
2. Côté P, Cassidy JD, Carroll L. The factors associated with neck pain and its related disability in the Saskatchewan population. Spine (Phila Pa 1976) 2000;25:1109-1117.
3. Hartvigsen J, Christensen K, Frederiksen H. Back and neck pain exhibit many common features in old age: A population-based study of 4,486 Danish twins 70-102 years of age. Spine (Phila Pa 1976) 2004;29:576-580.
4. Gallucci M, Puglielli E, Splendiani A, Pistoia F, Spacca G: Degenerative disorders of the spine. Eur Radiol 2005, 15, 591–598.
5. Hoff JT, Panadopoulos SM. Cervical disc disease and cervical spondylosis. In: Wilkins RH, Rengachary SS, eds.Neurosurgery. New York, NY: McGraw-Hill; 1996:3756-74.
标签:
