害人不浅的奶瓶龋!蛀牙的腐蚀速度超乎想象,牙齿“千疮百孔”!
害人不浅的奶瓶龋!蛀牙的腐蚀速度超乎想象,牙齿“千疮百孔”!
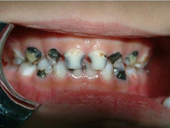
近日,郑州一名两岁的小轩被发现满嘴烂牙,于是其父母急忙带孩子到医院求治。他们不解的是,宝宝为什么这么快就满嘴烂牙?省人民医院主任表示,这种情况属于奶瓶龋,它的发生与不合理的喂养方式有直接关系,严重者会影响患儿口腔健康。
什么是奶瓶龋(qu,念第三声)?

奶瓶龋图片
“奶瓶龋”顾名思义,就是由于长时间用奶瓶人工喂养,尤其是喜欢让婴儿含着奶瓶玩耍或含着奶瓶睡觉的做法,致使宝宝口腔内难以保持清洁,而发生的在婴幼儿时期特有的乳牙龋病。奶瓶龋的发生不仅使乳牙的切割功能大大降低,而且随着病变加重,会引起牙髓及牙根尖病变,这时孩子会感到剧烈疼痛或牙龈肿胀、流脓,严重的还会影响恒牙的发育。长此以往不受重视,孩子的牙齿终会出问题!

儿童含着奶瓶睡觉
奶瓶,作为孩子口粮的工具,给妈妈带来便利的同时也留下了很多隐患。美国儿科学会、牙科协会建议:
宝宝在6个月的时候,就要开始学习用杯子喝水,然后开始逐渐减少使用奶瓶的次数,最好是在12个月的时候就能离开奶瓶,最晚也不要超过18个月,否则会产生很多弊端。

奶瓶图例
如何预防奶瓶龋
1.平衡膳食
在宝宝5-6月以前应从母乳或配方奶中获得全部的营养。喂奶时应注意喂奶姿势,最好坐着给孩子喂,左右轮换喂奶,同时注意避免影响婴儿颌面部的发育。而孩子5-6月后,可适量添加谷物类食物如米粉等,提供适当的水果汁、饼干条、鸡蛋黄和乳酪。一方面满足婴儿生长发育的需要,另一方面培养婴儿的咀嚼能力,为过渡到断乳做准备。

儿童平衡膳食宝塔
2.限制含糖饮料和食物的摄入
在宝宝1岁后,尽量在两餐间仅给水或不加糖的奶。有时候父母也会给宝宝添加果汁等辅食。天然果汁含糖很高,给孩子喝时尽量用杯子喝,喝后要喝口水。如果孩子能直接吃水果的话,应直接吃水果,咀嚼对牙的损伤较小。

水果
3.不要把细菌口口相传给孩子
蛀牙会传染吗?也许“蛀虫”并不会从一个口腔爬到另外一个口腔,但口腔中的唾液是细菌传播的载体。父母亲吻、用自己的餐具喂孩子、把食物放到自己口中试温度等做法,会将口腔中的致病细菌植播到孩子口腔中,其中致龋细菌越早传播给孩子,孩子越易早患龋齿。所以大人应保持良好的口腔卫生状况,“上岗前”纠正不正确的喂养方式,同时一定要避免把致病菌通过口口直接传播给婴幼儿。

儿童健康牙齿示例
4.定期口腔检查
在婴儿出生之后,应该在第一颗牙齿萌出后(即约6个月)或最迟在孩子一岁之前去医院检查口腔,由口腔医生评估患龋的风险,提供预防性指导和建议。此后,最好每6个月检查一次,父母可以在检查中学习和了解婴儿口腔健康的重要性。

儿童检查牙齿
看完本文说的,妈妈们会不会吓得回家赶紧扔奶瓶?但是,请注意,别着急!因为奶瓶不仅仅是孩子喝奶的工作,它还是宝宝精神的安抚物,在找到合适的替代品之前别着急!关于怎样戒奶瓶,牙牙君来支招!
带孩子一起挑选一款ta喜欢的水杯,今天向大家推荐重力球杯。
重力球杯,顾名思义,就是吸管的最底端连一个有点重量的小球,在重力的作用下,它会随着吸管与杯中液体同方向移动,始终保持在水面的下方。不管水位高低,不管宝宝坐着、站着都可以360度自由畅饮,不需要宝宝转着杯子找水喝,妈妈们再也不用担心水太少宝宝吸不到。这种杯子适合刚开始学习使用吸管杯的小宝宝,作为奶瓶到杯子的过渡。

重力球水杯
宝宝喝奶瓶都是仰着头的,而吸管杯则需要他们低头吸。有了重力球,宝宝抓着杯子时就算扬起头也能喝到水啦。尤其适合那些好动、调皮的小朋友经常制造洒水现场,让妈妈糟心,而这样的重力球设计可以很好的杜绝此现象。
但是物极必反,任何事物都有好的一面和坏的一面,吸管杯带重力球也是这样,牙牙建议这款不太适合年龄较小的小朋友,一周岁以上的小朋友可以试试。所以妈妈们在购买时候一定要想清楚,做足了功课再买。
牙牙说:
口腔健康是很多父母最容易忽视的,认为反正宝宝总要换牙,换牙后再好好保护牙齿不就行了?这种错误的观念,挽救不了宝宝一口漂亮的牙齿。了解一下“奶瓶龋”,它正在慢慢腐蚀着每一位宝宝。“牙好胃口就好,身体倍儿棒,吃嘛儿嘛儿香。”口腔健康就是人体消化系统健康的一面镜子。只有口腔健康,我们才能完成咀嚼,享受各种各样的美味佳肴。尤其在牙科费用越来越高昂的今天,爱护孩子的牙齿,让孩子对牙医有正确的认识。
标签:
