虎牙能拔吗 牙齿正畸是治疗最佳方式
虎牙能拔吗 牙齿正畸是治疗最佳方式
不少人都有虎牙,在小时候一般都会觉得虎牙很可爱,但在长大之后, 越发感觉虎牙外突不仅影响美观,而且不易清洁。有人不胜其烦,想把虎牙拔除,殊不知,虎牙实际上是长到牙弓之外的尖牙,尖牙的功能很重要,不能轻易拔除。那么,尖牙都有哪些作用?当出现虎牙时,又应该如何治疗呢?

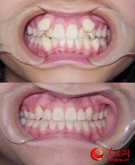
虎牙患者在正畸治疗前、正畸治疗后的牙齿对比图(闫伟军供图)
哈尔滨医科大学附属口腔医院口腔正畸科副主任医师、副教授闫伟军在接受人民网科普中国采访时介绍,尖牙是从中线往里数的第三颗牙齿,位于切牙和前磨牙之间,尖牙外形尖锐,可起到撕咬食物的作用,同时尖牙表面较光滑,不宜龋坏,且牙根较长,通常是口腔中留存时间最长的牙齿。尖牙还有支撑口角的作用,可以维持面部的丰满度。当尖牙由于多种原因,没有长在牙弓内,而排列在唇侧牙弓之外的位置时,称其为虎牙。虎牙是一种常见的畸形牙,如果正常生长则称之为尖牙。
虎牙是如何形成的呢?闫伟军介绍,虎牙的形成与尖牙的萌出顺序有关,且虎牙通常位于上颌。在乳恒牙交替时期,上颌尖牙萌出的时间通常晚于上颌其它牙齿,先萌出的牙齿由于乳牙过早脱失等原因,可能会不同程度地占据尖牙的位置,当尖牙萌出时,由于没有足够的空间,只能朝着阻力最小的方向萌出,而唇侧就是尖牙萌出阻力最小且空间最充足的位置,因此尖牙只能长到牙弓之外的位置,从而形成虎牙。而下颌牙齿通常按照从切牙到磨牙的顺序萌出,尖牙一般不是最后萌出,所以下颌尖牙通常可以在牙弓内获得相对充足的空间,位置也相对较正。
那么,虎牙有哪些健康隐患呢?闫伟军表示,虎牙的健康隐患主要有以下几点:
1.虎牙突出于牙弓之外,与对颌牙齿不能正常咬合,无法发挥尖牙应有的撕咬食物的功能。
2.牙齿拥挤易存储食物残渣且不易清洁,不利于保持口腔卫生,长此以往易造成附近牙龈肿胀发炎、邻近牙齿龋坏、口腔异味等问题。
3.虎牙外突使嘴唇不易闭合,且露齿笑时虎牙会显得很突兀,非常影响美观。
4.唇倾的虎牙可能会刺激口腔粘膜,造成口腔溃疡,带来疼痛和不便。
虎牙不能随便拔除,闫伟军指出,因为上颌尖牙在口腔中起着其它牙齿无法代替的作用,通常只有当虎牙的牙体有先天发育畸形或其它病变时,才会考虑拔除。尖牙对于咀嚼功能和面部美观都很重要,由于其承担支撑口角的功能,且牙根较长,所以一旦拔除会造成颜面部软硬组织的塌陷,导致口角皱缩,呈现老态,从而影响整个面部的美观。
那么,虎牙应该怎么治疗呢?闫伟军表示,牙齿正畸是治疗虎牙最好的方式,正畸医生可通过多种方式为虎牙进入牙列创造空间,然后在矫治器的作用力下将虎牙缓慢移动到正常位置,正畸的治疗方式虽相对麻烦、时间长,但可以更好地保全口腔功能,同时维持面部的协调与美观。(杨春艳)
标签:
