大脑边缘系统 科普:抑郁症大脑VS正常人大脑
大脑边缘系统 科普:抑郁症大脑VS正常人大脑
一个心理咨询匠带你进入自己内心的世界,喜欢的关注吧!

文/老K
随着脑科学不断发展,现在很多心理困惑也可以从脑成像图中找到问题成因。
我们都知道抑郁症患者和普通人一个最大区别就是抑郁症患者会经常不由自主思考负面东西,而这也让很多研究者为此希望寻找答案找到抑郁症的脑成因。
脑神经递质分泌不同
科学家发现,精神疾病患者的病情严重程度或认知表现往往与特定脑区的结构损伤或功能异常密切相关。

图片来源:图图是道

图片来源:图图是道
所以脑神经递质分泌紊乱被认为是造成抑郁症当下最重要原因之一,目前大多数抗抑郁药物都是根据这一理论研发的。比如选择性5-羟色胺再摄取抑制剂(SSRls)、5-羟色胺及去甲肾上腺素再摄取抑制剂(SNRls)用于抑制神经元对相应神经递质的再摄取,单胺氧化酶抑制剂(MAOls)则用于减缓这些神经递质的分解,从而增加这些神经递质在突触间隙的浓度。
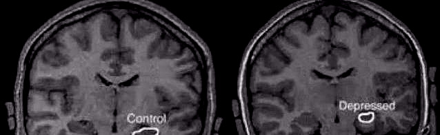
大脑海马体体积的大小不同

正常大脑(左)与抑郁症患者大脑(右)海马体大小对比
重度抑郁患者,他们的脑前额叶-边缘系统(杏仁核、海马等)中灰质密度和分数低频振荡幅度(fALFF)显著低于健康人。
海马体是我们大脑当中负责记忆和认知功能最核心的区域,也涉及到一些情绪功能。
如果治疗不彻底,或者缺乏有效治疗,海马体就会越来越小。
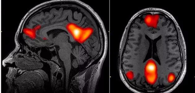
抑郁症相关的大脑网络活动异常

当下研究发现,其实我们大脑在思考问题时候,不是单一区域发生反应而是牵连的其他整个大脑网络产生反应。
研究发现,负责情绪调节、反刍性思维、兴趣缺失有关的奖赏回路,以及自我意识相关的大脑网络,在抑郁症病人的大脑当中都有或多或少的异常,对应到具体的位置,就是抑郁症患者大脑的杏仁核活跃程度和连接程度会增强,膝下前扣带回活跃程度会增强,而脑岛和背侧前额叶的活跃程度会降低。
不过这只是大数据下很多案例的综合,具体到每个人身上也有很多差异。
抑郁症与大脑两个区域功能性传递增加有关

之前发表在“大脑”期刊上的一项研究发现,抑郁症与大脑两个区域功能性传递增加有关,其中之一是和没有得到奖励和遭受惩罚区域有关(外侧眶额叶皮层),另一个是和自我意识区域有关(前颞骨)。
研究中,909人(421个重症抑郁障碍患者和488个对照组)接受了先进的MRI神经成像技术大脑扫描。
(此处已添加圈子卡片,请到今日头条客户端查看)
(⭐️优质心理学和心理成长社区,这里会每日分享优质心理学和精神卫生知识,大家一同成长讨论吧!)
此外,研究人员发现,重度抑郁发作与内侧OFC的奖励中心和大脑其他记忆系统之间的功能性传递降低有关。这就解释了为什么患有临床抑郁症的人难以回忆起之前快乐的记忆。
标签:
