使用防晒喷雾后,20 岁小伙检查出“白肺”!医生紧急提醒
使用防晒喷雾后,20 岁小伙检查出“白肺”!医生紧急提醒
日前,20 岁小伙李林(化名)外出前使用了防晒喷雾,在对着面部喷洒时一不小心误吸,随即出现胸闷、咳嗽的症状。症状一直持续到第二天仍未好转,他急忙来到长沙市第三医院就诊。
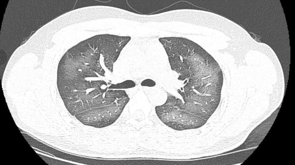
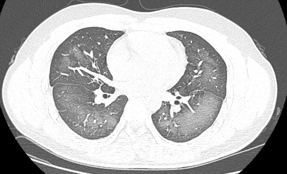
经检查,肺部 CT 片显示,李林双肺赫然呈现大范围白色样病变,报告提示 " 白肺 "。


长沙市第三医院放射影像科副主任、主任医师肖海清表示," 白肺 " 一般是指重症肺炎在 X 线或 CT 检查下的表现,患者肺部呈现一大片的白色状态。" 白肺 " 患者往往会出现呼吸困难、呼吸衰竭,严重者还会出现其它脏器功能障碍。" 白肺 " 常见于高龄(65 岁以上)、免疫力低下、有重要器官慢性病史(如心脏病、中风史、慢性肾脏病、慢性阻塞性肺疾病等)、有多种疾病并存(比如既有高血压、糖尿病,又有心脏病、肺病、肾功能不全)等人群。
长沙市第三医院放射影像科主任张秀萍表示,除了感染、弥漫性肺泡出血综合征等 " 白肺 " 最常见的病因外,吸入有害物质如粉尘、喷雾等,也可导致肺部出现大范围白色样病变。这位年轻的患者就是因为使用不当,吸入了一部分防晒产品进入肺部,导致 " 白肺 " 的发生。
急诊医生给予吸氧、化痰、抗感染治疗后,李林症状得到明显改善。
医生提醒广大市民,使用防晒喷雾时应当注意适量原则,喷洒时尽量遮住口鼻,不建议直接对着面部喷洒,而应将防晒产品喷到手掌上,然后在脸上涂抹均匀。在使用防晒产品后,若出现过敏或其它身体不适时,应立即停止使用并及时前往医院就诊。
标签:
