男子肺里洗出 18 瓶“牛奶”!这个习惯很多人有…
男子肺里洗出 18 瓶“牛奶”!这个习惯很多人有…
来源:FM93 记者 王桔 通讯员:江晨
天气转凉
身边咳咳咳的小伙伴
又多了起来
很多人都觉得挺一挺、熬一熬就过去了
再不济,吃点止咳类的糖浆或药水
通常情况下不会引起太多关注
但是如果咳嗽久久难愈
很可能是身体在报警
01
久咳不止,竟是患上这种病
宁波人毛先生(化名)今年 56 岁,自己做点小本生意。最大的爱好就是打麻将和抽香烟,是个不折不扣的 " 老烟枪 ",烟龄超过 30 年,每天至少两包香烟。半年前,在一次活动后他有些胸闷、气急,以为是工作太累了,他特地在家休息了一段时间。但活动后气急的程度一天天加重,爬个楼梯、走一段平路就会感觉气喘吁吁。
天气转凉之后,原本只是微微咳嗽的毛先生发现,他无论怎么喝止咳药水都止不住咳嗽,反倒越咳越严重,睡觉时会把自己憋醒,还会咳出乳白色像 " 牛奶 " 一样的浓痰。

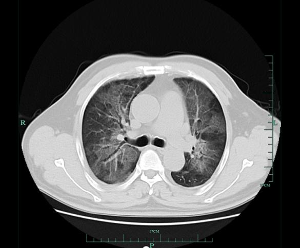
患者的肺部影像
在当地医院做了肺部 CT 检查发现,毛先生双肺大面积变白,当地医院进行抗感染、消炎等对症治疗后,他的病情没有明显改善。当地专家建议他抓紧到对治疗肺部疾病有着丰富经验的浙大一院明确诊断。
毛先生求诊于浙大一院呼吸内科王杰副主任医师的专家门诊,经过仔细辨识,专家考虑他患上的是一种较为罕见的肺病——肺泡蛋白沉积症,俗称 " 牛奶肺 "。其实,人体每天都会产生肺泡蛋白,当由于某些原因无法排出、代谢这些肺泡蛋白时,人体就会缺氧,最终发展成呼吸衰竭,危及患者生命。他被收治入院进一步确诊和治疗。
通过支气管镜检查,专家在毛先生的肺泡灌洗液里找到明确肺泡蛋白沉积症的重要标识—— PAS 和 dPAS 阳性蛋白小球样物质,确诊了。
" 元凶 " 找到了,该如何治病?对于像毛先生这样肺泡蛋白沉积症严重的患者,最好的治疗措施是向他肺内灌入大量无菌生理盐水,通过冲洗,把肺泡内的肺泡蛋白洗出去。经过综合评估毛先生的情况,王杰副主任医师带领团队在全麻下为他进行 " 大容量肺泡灌洗术 ",用 1 万毫升生理盐水给他的肺部 " 洗了个澡 "。

肺部灌洗中
整个手术过程顺利,历时近 3 小时,共灌入生理盐水 10000ml,随着灌洗手术的进行, 只见白色浑浊的 " 牛奶 " 样液体从气管内缓缓流出并逐渐变清。这一 " 洗肺 ",竟然洗出 18 瓶乳白色 " 牛奶 " 样液体。

部分白色 " 牛奶 " 样液体
术后第二日,毛先生就能下床活动,气喘症状明显减轻," 呼吸明显轻松多了,走路也没有以前那么累 "。
02
这些情况下,需要给肺 " 洗个澡 "
肺泡蛋白沉积症是一种罕见的弥漫性肺间质性疾病,患病率约为每百万人 6.87 例。这类患者肺泡腔内积聚大量表面活性物质,随着病情不断加重,导致进行性呼吸功能下降,引起咳嗽、咳痰、呼吸困难等症状。此病多继发肺部感染,随着病情进一步进展,易诱发急性呼吸衰竭,会对生命健康产生严重影响。
目前全肺灌洗治疗(" 洗肺 ")被认为是治疗肺泡蛋白沉积症最有效的方法。但是,单纯的洗肺对于毛先生的 " 牛奶肺 " 并不能一劳永逸,患者吸烟、肺部感染等情况下都会诱发肺泡蛋白沉积物病情再次加重。因此专家建议患者日常生活中需要戒烟,预防感染来预防病情加重。
可能有小伙伴问,那是不是吸烟、吸霾的肺都适合清洗?答案是否定的!
呼吸内科副主任(主持工作)周建娅主任医师解释,大容量全肺灌洗术是一种专业性很强的医疗技术,是治疗疾病的一种手段,绝非肺部保健项目。什么情况下能够 " 洗肺 " 有严格的手术适应症,要经过充分的术前评估,对医技人员资质技术、医疗设备、技术操作及麻醉等都有较高的要求,它并不适合普通人群,也不是想洗就洗、多多益善。而且烟草、雾霾中很多有害物质与生理盐水并不能相溶,比如烟草中的焦油等,烟草中的有害物质对人体是持续性、潜移默化的影响,最终导致肺内病理性改变。所以,洗肺对烟草作用并不大,最好的办法就是不吸烟。
标签:
